DORTMUND, 13.03.2024. The winners of the 2024 Healthy Hub Competition want to improve women’s health with innovative care. The various offers relate to different phases of life and clinical pictures – from hybrid tests against HPV viruses, to care for typical female diseases such as endometriosis, to innovative therapy for menopausal symptoms. People with lung diseases should receive better care in terms of early detection. The winning teams will each tackle these topics with one of the four health insurance companies – BIG direkt gesund, IKK Südwest, mhplus Krankenkasse and SBK Siemens-Betriebskrankenkasse. This is the fifth time that the health insurance companies have jointly organized the competition.
“This time, the focus was on selected contractual care solutions, which take into account the gender health gap, i.e. the inequality of care between women and men,” explains Dr. Elmar Waldschmitt, Managing Director of the Healthy Hub and Board Representative at BIG. Unfortunately, medical research and care is still too heavily focused on men.
The winners were selected from over 40 applications:
Remi Health, health insurance partner BIG direkt gesund
Remi Health has developed a cervical cancer screening program that allows insured women to test themselves for human papillomavirus (HPV) at home. If the results are positive, an online consultation and an appointment with a gynecologist are provided. Remi’s digital platform also provides information about the importance of screening and early detection. “The low-threshold HPV test combines home testing, telemedicine and prevention in one seamless process,” explains Marvin Abert, Co-CEO of Remi Health. “In particular, we want to reach young women who have not yet taken advantage of cancer screening and have no immunity through an HPV vaccination. In our opinion, the HPV self-test from Remi Health is an innovative approach to complementing cancer screening in a meaningful way,” says Christiane Heidrich, Team Leader Managed Care at BIG direkt gesund.
Femna Health, health insurance partner SBK Siemens-Betriebskrankenkasse
Around a third of women of fertile age, i.e. in their fertile years, suffer from severely restrictive physical, psychological and social stress due to cycle complaints. These include conditions such as PMS, endometriosis and dysmenorrhea. “Current care does not adequately address these problems due to a lack of treatment options, long waiting times and a lack of individualized care. FEMNA has therefore developed a hybrid care model that provides women with improved, comprehensive and immediate care,” explains Maxie Matthiessen, founder of Femna Health. “Femna Care improves behavioral patterns and helps to prevent secondary diseases and increase the quality of life of affected women,” says Christina Bernards, Team Leader Care Management, SBK Siemens-Betriebskrankenkasse. “This is an issue close to our hearts, because women’s health in particular is massively neglected and underfunded in medicine and research. It’s time we changed that.”
YoniCare, health insurance partner mhplus Krankenkasse
With YoniCare (MICADO HEALTH CARE GmbH), the Healthy Hub has a non-digital care product in its portfolio for the first time. YoniCare enables laser therapy for the treatment of genitourinary syndrome. “The drop in estrogen levels during the menopause leads to vaginal dryness, changes in vaginal tissue and the vaginal mucosa and, as a result, symptoms such as itching, incontinence, infections and other complaints,” says Mandy Wilms from MICADO HEALTH CARE GmbH. The therapy can revitalize the vaginal epithelium that lines the vagina and the vaginal vestibule. The symptoms decrease and gynecological health is restored. “The therapy can make hormone replacement therapy superfluous and reduce interactions with medication,” says Fabienne Knaub, consultant for selective contracts and care analysis at mhplus Krankenkasse.
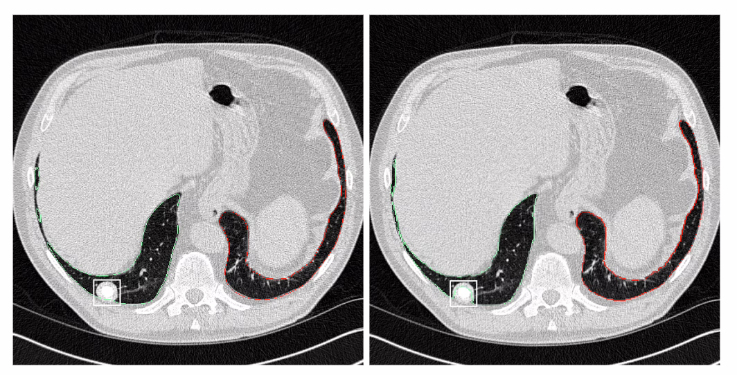
contextflow, health insurance partner IKK Südwest
Early detection is essential for successful treatment of thoracic diseases. “We offer AI software that provides additional information for identifying and interpreting lung-specific image patterns in CT scans,” says Markus Holzer, CEO and co-founder of contextflow. The ultimate goal of the software is to detect lung cancer as early as possible in order to save healthcare system resources and protect patients from unnecessary interventions. “The image analysis AI enables radiologists to assess relevant image patterns of lung cancer and respiratory diseases faster and better,” says Dr. Florian Brandt, Health Innovation Manager at IKK Südwest.
Developing use cases for healthcare practice
Over the next few months, the four health insurance companies will work with the winning teams to develop specific use cases that are suitable for use in statutory health insurance (SHI). “Our aim is to ensure that these innovative care methods are used in practice,” says Dr. Elmar Waldschmitt. In addition, the Healthyhub’s cooperation partner, GWQ ServicePlus AG, will be involved in the development from the outset.
About the Healthy Hub
Since 2018, the four health insurance companies BIG direkt gesund, IKK Südwest, mhplus Krankenkasse and SBK Siemens-Betriebskrankenkasse have been committed to the digitalization of the healthcare system with the Healthy Hub. The aim is to enable innovative solutions for better, integrated care. To this end, the health insurance funds regularly organize competitions for start-ups. They have already brought 27 start-ups into the healthcare sector.
About BIG direkt gesund
BundesInnungskrankenkasse Gesundheit – BIG direkt gesund for short – was founded in Dortmund in 1996. The big idea behind BIG: We create space for being human. This means a modern online approach and empathetic service that is fast and solution-oriented. BIG offers versatile communication channels to suit the respective lifestyles of its around 510,000 policyholders across Germany. These customers receive appreciative and understandable advice by phone, chat, email or letter. Many additional benefits and an attractive bonus program are further major plus points. BIG direkt gesund has its legal domicile in Berlin, its head office in Dortmund and an important administrative location in Aachen. BIG employs around 950 staff at its operating locations and offers on-site advice in 11 BIGshops.
For inquiries
Bettina Kiwitt
Head of Corporate Communications
Phone: 0231/5557-1016
E-mail: bettina.kiwitt@big-direkt.de
About IKK Südwest:
IKK Südwest currently serves more than 635,000 insured persons and over 90,000 companies in Hesse, Rhineland-Palatinate and Saarland. Insured and interested parties can rely on personal support in our 21 customer centers in the region. In addition, IKK Südwest can be contacted around the clock seven days a week via the IKK service hotline 0681/ 3876 1000 or at www.ikk-suedwest.de.
For inquiries
Mathias Gessner
Press spokesman
Phone: 0681/3876-1163
E-mail: presse@ikk-sw.de
About the mhplus health insurance company:
mhplus Krankenkasse is open to those with statutory health insurance. Around 1,000 employees look after more than half a million policyholders throughout Germany. Independent tests confirm high service standards and solid finances. The mhplus supplementary contribution has remained stable at 1.58% since 2023.
For inquiries
Isabell Rabe
Head of Press and Politics
Phone: 07141/9790-9845
E-mail: presse@mhplus.de
About the SBK:
SBK Siemens-Betriebskrankenkasse is the largest company health insurance fund in Germany and is one of the 20 largest statutory health insurance funds. As an open, nationwide health insurance company, it insures more than one million people and looks after over 100,000 corporate customers in Germany – with around 2000 employees in 86 branches. For more than 100 years, SBK has been personally committed to the interests of its policyholders. It positions itself as a pioneer for genuine quality competition in statutory health insurance. From the SBK’s point of view, the prerequisite for this is more transparency for the insured – about relevant key financial figures, but also about the willingness to perform, advice and service quality of health insurance companies. In the interests of the customer, SBK also combines the best of the personal and digital worlds and is actively driving forward digitalization in the healthcare sector.
For inquiries
Julia Mederle
Corporate Communications Department
Phone: +49 89 62700-363
E-mail: julia.mederle@sbk.org Internet: www.sbk.org





