contextflow: 1,2 Mio. Euro EU-Förderung für Wiener Bildanalyse-Startup
2020-07-01

contextflow hat im Juni vom EIC-Accelerator eine spezielle Förderung von 1,2 Millionen Euro (genau sind es 1.205.872,50 Euro) zugesprochen bekommen. Die Firma der Gründer Georg Langs (Chief Scientist), Allan Hanbury (Professor of Data Intelligence), Markus Holzer (CEO) und Rene Donner (CTO) ist damit eines von 36 Unternehmen, denen insgesamt Förderungen in Höhe von fast 166 Mio. EUR gewährt wurden, weil ihre Technologien als tauglich bewertet wurden, um die Coronavirus-Pandemie zu bekämpfen. trendingtopics.at

Other News

contextflow mit künstlicher Intelligenz gegen Corona
2020-07-01

contextflow hilft Radiologen mittels Künstlicher Intelligenz (KI) bei der Erforschung von Corona-bedingten Atemwegserkrankungen. trend.at

Other News

Operating in a Pandemic
2020-07-01

Nina Capital, one of contextflow’s loyal investors, released a blog article about how its portfolio companies are operating during the pandemic. Learn how we have been tackling organizational challenges here.

Other News

Frisches Risikokapital für Wiener Machine-Learning-Startup
2020-06-08

Unsere neuesten Investment-Nachrichten aus Trending Topics.

Other News

Investment für Radiologie-Startup zwecks Kampf gegen Corona
2020-06-08

Unsere neuesten Investment-Nachrichten aus derbrutkasten.

Das Wiener Startup contextflow entwickelt KI-basierte Software für Radiologen und hat seine institutionelle Finanzierung auf einen siebenstelligen Betrag erhöht, um den Markteintritt zu beschleunigen und neue Funktionen im Zusammenhang mit dem Coronavirus zu entwickeln.

Other News

Georg Langs’ Virtual Talks – Röko 2020
2020-06-08

This year’s Deutsche Röntgengesellschaft e.V. congress is online through November! That means there’s plenty of time to catch Chief Scientist Georg Langs  moderating 3 panels on #AI in clinical #radiology practice. Full program here.

Other News

Welcome Márton Somogyi!
2020-06-08

Our 2nd onboarding during quarantine: introducing Márton Somogyi! Márton joins us as a Senior Backend Developer with a love of functional programming. His thoughtful personality is a perfect fit for the contextflow family, and we feel lucky to have him. Welcome Márton!

Other News

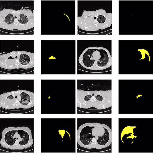
Deep Learning Detection and Quantification of Pneumothorax in Heterogeneous Routine Chest Computed Tomography
2020-06-08

We are honored that Thomas Schlegl’s (our Machine Learning expert’s) recent article “Deep learning detection and quantification of pneumothorax in heterogeneous routine chest computed tomography” – a joint work of Medical University of Vienna and contextflow – was chosen to be featured in the April edition of the newsletter Highlights from the ESR Journals! Congrats to the entire team!

Other News

How has COVID-19 impacted our current focus?
2020-06-08

 methinks spoke to CEO Markus Holzer to find out.

Other News

COVID-19 Update: New Features
2020-05-08

In March we announced we were working daily with our partner hospitals and clinics to outline how best we could utilize our current resources to provide additional value to radiologists fighting COVID-19. Over the last month, we have developed three additional capabilities for research use only towards this aim: 1) triaging – we flag suspected COVID-19 cases based on the presence of COVID-19-related disease patterns present in lung CTs; 2) updated SEARCH – our 3D image-based search engine now includes a mode that will automatically search for COVID-19-related patterns, providing heatmaps for the most common of these patterns (e.g. GGO) as well as percent of total lung volume affected; and 3) PDF reporting – we will now automatically generate a PDF report for suspected COVID-19 patients. Thanks to our partner integrators, these developments will be incorporated into normal clinical workflow to as many hospitals as possible. In fact, some are already installed and running. These accomplishments were made possible from data contributed by both our existing partners as well as new ones in Italy and Spain, to all of whom we say THANK YOU. Your courage and determination under pressure keeps us focused and motivated, and we’re truly grateful for your inspiration. Stay healthy friends.

Other News